-
Комплексная диагностика
-
Многолетний опыт
-
Поможем вернуть 13% от лечения
-
Гарантия
Борисенко Анастасия Валерьевна - стоматолог-терапевт в Воронеже
О враче
«С раннего детства мечтала стать врачом. Со временем отдала предпочтение стоматологии из-за большого интереса к поэтапной детальной работе руками.
Моя ежедневная цель – давать возможность людям при выходе из кабинета чувствовать себя счастливыми и наслаждаться комфортом. Ведь здоровые зубы это не только стойкость всего организма, привлекательный внешний вид, но и возможность быть уверенным в себе в любом возрасте»
Образование
- 2017 - 2022 г.г. – обучение в ХНМУ по специальности «стоматология»
- 2024 г. обучение в клинической ординатурена кафедре терапевтической стоматологии в НИУ «БелГУ» по специальности «стоматология терапевтическая»
Где принимает:
- Воронеж, ул. Депутатская 19а
Услуги, за которыми вы можете обратиться к Борисенко Анастасии Валерьевне
- Лечение зубов
- Консультация стоматолога-терапевта
- Лечение кариеса
- Лечение пульпита
- Лечение десен
Первичная консультация - бесплатно
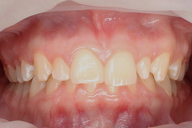
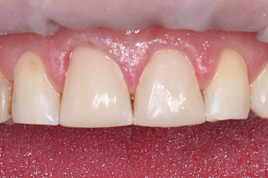
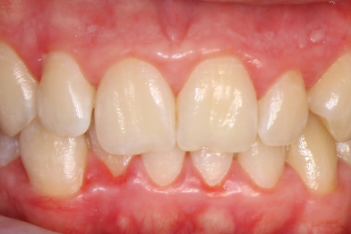
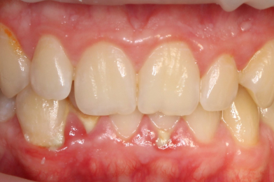
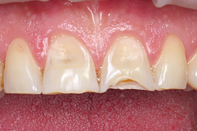
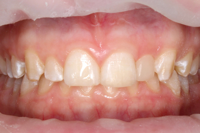
Примеры работ
Галерея
Записаться на бесплатную консультацию
