-

Комплексная диагностика
-

Многолетний опыт
-

Поможем вернуть 13% от лечения
-

Гарантия
Таранова Карина Семеновна - профессиональный детский и взрослый врач-стоматолог ортодонт в Воронеже
«Красивые и ровные зубы – залог успеха и уверенности в себе. Цель моей работы – создать неотразимую улыбку детям и взрослым» - поделилась с нами Карина Семеновна. Карина Семеновна – современный специалист и владеет всеми новейшими технологиями, необходимыми для эффективного ортодонтического лечения!
О враче
«Красивые и ровные зубы – залог успеха и уверенности в себе. Цель моей работы – создать неотразимую улыбку детям и взрослым» - поделилась с нами Карина Семеновна.
Основной задачей, стоящие перед Кариной Семеновной в работе, является исправление прикуса и положения зубов у детей и взрослых.
Карина Семеновна – современный специалист и владеет всеми новейшими технологиями, необходимыми для эффективного ортодонтического лечения! В своей работе она использует съемные аппарататы (пластинки, каппы), несъемные техники лечения такие как брекет-системы, высокотехнологичное оборудование.
Быть классным специалистом в выбранной специализации – очень важно для Карины Семеновны - поэтому постоянно она совершенствует свои знания и умения.
Образование
- В 2008 г. окончила ВГМА им Н.Н. Бурденко. Выдан диплом с отличием.
- В 2010 г. Окончила ординатуру по специальности "Стоматология общей практики". Выдан сертификат.
- В 2012 г. Прошла первичную специализацию по специальности "Ортопедическая стоматология ". Выдан диплом и сертификат.
- В 2014 г. Окончила ординатуру по специальности "Ортодонтия". Выдан диплом и сертификат.
Повышение квалификации
- В 2011г. Прошла обучение на семинаре С. А. Попова на тему "Дистальная окклюзия, применение изгибов на зубных дугах. Этапы ортодонтической коррекции перед рациональным протезированием". Выдан сертификат.
- В 2011 году прошла обучение на семинаре А. В. Тихонов на тему "Отдельные аспекты применения" Damon System в клинической практике". Выдан сертификат.
- В 2012г. Прошла обучение на семинаре С. А. Блума на тему "Диагностика и планирование ортодонтического лечения от ТРГ к программному обеспечению ". Выдан сертификат.
- В 2013г. Прошла обучение на семинаре С. А. Блума на тему" комплексный подход к ведению ортодонтических пациентов на системе Damon: подготовка пациента под имплантацию и протезирование, эстетическую Стоматологию, парадонтологическая подготовка". Выдан сертификат.
- В 2020г. Прошла обучение на семинаре С. А. Блума, "Сложные клинические случаи в ортодонтии", а также курс семинаров С. А. Попова, «Эффективное позиционирование брекетов - предсказуемость ортодонтического лечения», «Профилактическое ортодонтическое лечение при дистальный окклюзии - рациональный подход и возможные ожидания».
- В 2022 Прошла курс применение мини имплантатов в современной ортодонтической практике.
Услуги, за которыми вы можете обратиться к Тарановой Карине Семеновне
- Консультация ортодонта
- Установка ортодонтических пластинок
- Установка брекетов детям и взрослым
- Установка миорелаксирующих капп
Первичная консультация - бесплатно
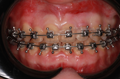
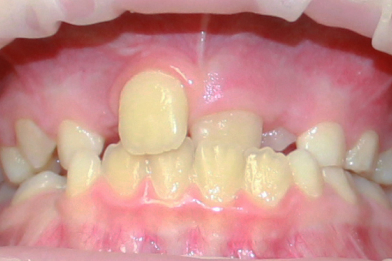
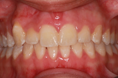
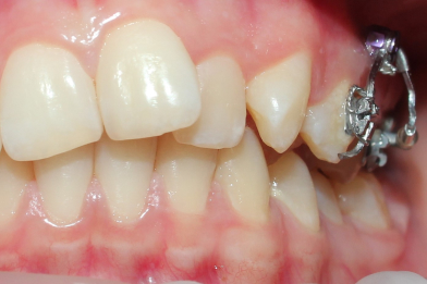
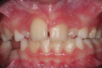
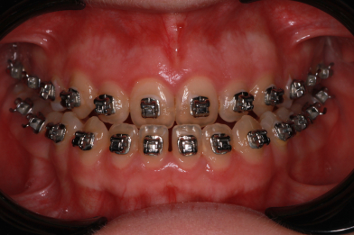
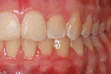
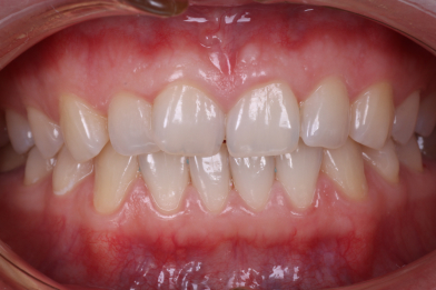
Галерея
Записаться на бесплатную консультацию
