Версия сайта для слабовидящих

Работаем Пн-Cб: с 8:00 до 21:00

rating
+7 (473) 200-9-200

pointВоронеж, ул. Депутатская 19а

+7 (473) 200-0-050

pointВоронеж ул. Бульвар Победы, 50а

Установка брекетов Protect за 24 950 руб.

Срок акции до 31 марта 2026г.

В стоимость входит:

  • Консультация врача-стоматолога ортодонта
  • Наклейка брекетов на одну челюсть.
Уточняйте подробности по телефону. Для записи по акции звоните:
  • +7 473 200-92-00 г. Воронеж, ул. Депутатская 19а
  • +7 473 200-00-50 г. Воронеж, ул. Бульвар Победы 50а

Стоимость указана за 1 одну челюсть.

Акция действует при полной оплате наличными средствами.

методы исправления

Исправление прикуса — важный этап на пути к здоровой улыбке

В нашей стоматологии мы предлагаем различные методики, включая металлические и керамические брекеты, а также элайнеры. Металлические брекеты — это классический и надежный метод для коррекции сложных случаев. Керамические брекеты менее заметны и идеально подходят тем, кто ищет эстетичный вариант.

При выборе ортодонтического лечения важно внимательно ознакомиться с различными методами и их особенностями. Решение о подходящем варианте принимает пациент совместно с врачом. Тип вмешательства и план процедур зависят от характера патологии, и только специалист может точно диагностировать степень и состояние проблемы.

Подарите себе красивую и правильную улыбку — записывайтесь на консультацию сегодня!

Типы неправильного прикуса

Существует несколько типов аномалий прикуса:

Дистальный

При этом нижняя челюсть недостаточно развита, а верхняя — чрезмерно. Это приводит к тому, что один из зубных рядов выступает вперед.

Глубокий

При этом нижняя челюсть недостаточно развита, а верхняя — чрезмерно. Это приводит к тому, что один из зубных рядов выступает вперед.

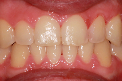
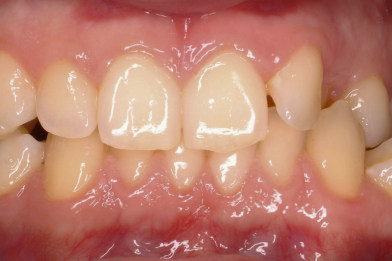
Исправление прикуса

Ортодонтическое лечение с применением брекет – системы Carriere SLX 3D и c использованием минивинтов, Срок лечения 1.5 года

Таранова Карина Семеновна

Ортодонтическое лечение с применением брекет – системы Carriere SLX 3D и c использованием минивинтов, Срок лечения 2 года

Таранова Карина Семеновна

Лечение на брекет -системе Carriere SLX 3D ,через 1.5 месяца после фиксации.

Таранова Карина Семеновна

Лечение на брекет -системе Carriere SLX 3D ,1.5 года. Ретенция 13 зуба.

Таранова Карина Семеновна

Лечение на брекет системе Carriere SLX 3D 1.5 года.

Таранова Карина Семеновна

Лечение на брекет системе Carriere SLX 3D 2.5 года.

Таранова Карина Семеновна

Лечение на брекет системе Damon Q -3 года, фото до/ после челюстно- лицевой хирургии.

Таранова Карина Семеновна

Срок лечение съемной пластинкой 8 месяцев.

Таранова Карина Семеновна

Лечение на брекет системе Carriere SLC 3D 2.5 года , с последующим протезированием .

Таранова Карина Семеновна

Лечение на брекет системе Carriere SLX 3 D 2 года.

Таранова Карина Семеновна

Лечение на брекет системе Carriere SLX 3D 1.5 года.

Таранова Карина Семеновна

Пациент Хмелевской М.А. «Реставрация 1.1,2.1 зуба после ортодонтического лечения» доктора: врач - ортодонт Таранова К.С. ; врач- терапевт Рахманова М.А.

Таранова Карина Семеновна

Вы можете записаться на прием, позвонив по телефону: 8 473 200 92 00 или заполнив форму на сайте

Team
Стоимость

Цены на исправление прикуса

Коррекция дефектов челюсти сегодня доступна для большинства пациентов. Вы можете выбрать металлические брекеты по разумной цене и получить желаемую улыбку. Чем раньше вы обратитесь за помощью, тем дешевле будет лечение.

Рабочие моменты

Каждый день — новая улыбка: забота о наших пациентах

Мы верим, что каждая улыбка — это отражение внутреннего мира человека, и наша миссия заключается в том, чтобы помочь раскрыть этот потенциал.

В клинике Эверест используется современные методы, такие как брекеты и элайнеры, которые обеспечивают быстрые и комфортные результаты. Наши опытные специалисты гарантируют удобное обслуживание на протяжении всего лечения.

slide
slide
slide
slide
slide
slide
slide
slide
slide
slide

Отзывы

Пациент +7 950 75XXXXX

Source

17 Апреля 2026

Были вопросы по эстетике. Все специалисты работают в связке, что очень удобно. После консультации оказалось - много дел с моей полостью рта. Все зубки, которые было нужно восстановить - восстановили, те, которые необходимо было перелечить - перелечили, все благополучно и на высшем уровне. Я очень довольна. :) После лечения - долгожданные брекеты​!

Карина Семеновна - профессионал в своей сфере! Понимающий специалист, результат налицо!

Ирина Писанкина

Source

19 Декабря 2025

Наблюдаемся уже больше года у Карины Семёновны на ортодонтическом лечении и всем довольны. Доктор - настоящий профессионал своего дела, всегда грамотно объяснит любую поставленную задачу в лечении. Чуткий, внимательный, тактичный стоматолог. Огромное спасибо врачу! Ещё чуть-чуть, и у моей дочери будет прекрасная ровненькая улыбка!

Пациент +7 961 17XXXXX

Source

17 Октября 2025

Отличная стоматология​, все вежливые, добрые, всегда идут навстречу, если что-то не так. Врачи знают, отлично делают свою работу. Карина Семеновна - хороший ортодонт, выровняли мне зубы за 1,5 года.

Алина Жданова

Source

02 Октября 2025

Хочу выразить огромную благодарность всей команде клиники Эверест! Врач ортодонт Карина Семеновна провела подробную консультацию, все объяснила, ответила на интересующие вопросы, предложила несколько вариантов лечения. В самой клинике чисто и уютно, персонал очень вежлив, цены соответствуют качеству. Однозначно рекомендую к посещению данную клинику

Пациент +7 910 24XXXXX

Source

19 Сентября 2025

Узнали про клинику «Эверест» от подружки, которая из другой области. Она обращалась к ортодонту с сыном. Очень довольна осталась. Мы тоже давно хотели дочку (6,5 лет) к ортодонту отвести, но не знали, куда лучше обратиться. И тут все совпало. Мы пошли к Тарановой Кристине Семеновне. Визитом ... настроение!

Пациент +7 920 43XXXXX

Source

13 Сентября 2025

Захотелось обрести голливудскую улыбку и решила обратиться в данную клинику по установке брекетов. Пришла на консультацию, все подробным доступным языком объяснили, как будет проходить мое лечение. Сейчас каждый месяц прихожу на коррекцию.

Выражаю огромную благодарность клинике и моему ортодонту Карине Семеновне. Я на пути к своей мечте, красивой улыбке.

Пациент +7 961 03XXXXX

Source

06 Августа 2025

Обращались к доктору Тарановой К. С. неоднократно, т. к. дочери понадобилась установка брекетов, а впоследствии капп. Каждый раз доктор подходил к обследованию и лечению очень грамотно, тщательно осматривал. Зубы встали на место. Никаких болезненных ощущений в ходе лечения не было. Ненужных ... входе.

Анна Толстова

Source

18 Июля 2025

Хорошая клиника, отличные специалисты, наблюдаемся у Тарановой Карины Семеновны, качественно установила брекет системы. Рекомендую всем.

Александр Пчелинцев

Source

21 Июня 2025

Стоматология на высшем уровне. Устанавливали дочери брекеты у Карины Семеновны. Лечение завершили, все супер!

Пациент +7 920 44XXXXX

Source

06 Ноября 2024

Карина Семеновна - отличный профессионал, мастер своего дела. Мой рот до лечения у данного врача представлял собой два ряда кривых зубов. После полутора лет лечения у Карины я впервые начал видеть свои зубы, они расположились во рту ровно! Брекеты​ не самая приятная вещь. Но данный врач выполняет ... дискомфорта.

Как нас найти

ООО "Эверест Дент"
№ Л041-01136-36/00335779 от 08.11.2019

ООО "Эведент"
№ Л041-01136-36/00956907 от 01.12.2023

Работаем Пн-Cб:
с 8:00 до 21:00

Этот сайт использует cookie-файлы и другие технологии для улучшения его работы. Продолжая работу с сайтом, Вы разрешаете использование cookie-файлов. Вы всегда можете отключить файлы cookie в настройках Вашего браузера. Более подробные сведения смотрите в нашей Политике

Информация собирается сервисом Яндекс Метрика