Протезирование зубов
-
Протезирование на имплантах диоксидциркониевыми коронками в области зубов 1.4, 1.5.
Бортников Дмитрий Сергеевич -
Протезирование диоксидциркониевыми коронками с нанесением керамики на зубах 1.1, 2.1.
Бортников Дмитрий Сергеевич -
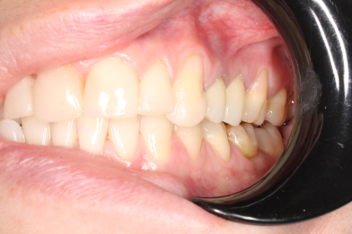
Протезирование зубов 1.3, 1.6, 3.3, 3.4, 4.2, 4.3, 4.4 металлокерамическими коронками и изготовление частично съемных пластиночных протезов на верхнюю и нижнюю челюсти из материала «Акри-фри».
Бортников Дмитрий Сергеевич -
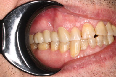
Протезирование керамическими коронками
Головин Алексей Дмитриевич -
Протезирование керамическими коронками
Головин Алексей Дмитриевич -
Протезирование керамическими коронками
Захарян Мгер Сергеевич -
Эстетико-функциональная реабилитация зубов верхней и нижней челюсти с помощью реставраций на основе диоксида циркония с керамической облицовкой.
Захарян Мгер Сергеевич -
Эстетико-функциональная реабилитация зубов верхней и нижней челюсти керамическими реставрациями Emax.
Захарян Мгер Сергеевич -
Эстетико-функциональная реабилитация зубов верхней и нижней челюсти коронками на основе диоксида циркония с керамической облицовкой и съемным протезом Perflex Acryfree на верхнюю и нижнюю челюсть в области отсутствующих зубов.
Захарян Мгер Сергеевич -
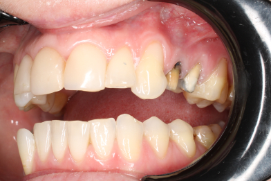
1. Изготовление временных коронок на зубы 1.7, 1.6.
Бортников Дмитрий Сергеевич
2. Изготовление частично съемного пластиночного микропротеза в
области зуба 1.5.
3. Диоксидциркониевая коронка на имплантате в области зуба 2.6,
винтовая фиксация.
Реабилитация пациента не закончена. -
Изготовление диоксидциркониевой коронки на зуб 1.7,
Бортников Дмитрий Сергеевич
временной коронки длительного ношения на зуб 1.6. -
Замена старых металлокерамических реставраций на керамические emax. Восстановление эстетики улыбки
Захарян Мгер Сергеевич -
Изготовление диоксидциркониевого мостовидного протеза с опорой на имплантаты в области
Бортников Дмитрий Сергеевич
зубов 4.7, 4.5. -
Диоксидциркониевые коронки с нанесением керамики на зубах верхней челюсти и на имплантатах в области зубов 1.5, 2.2.
Бортников Дмитрий Сергеевич -
Выполнено протезирование на верхней челюсти в концепции All-on-4. Мостовидный металлокерамичесий протез с опорой на имплантаты на верхней челюсти.
Бортников Дмитрий Сергеевич
Акриловый полный съемный пластиночный протез на нижней челюсти. -
Замена старого металлокерамического мостовидного протеза на новый из материала диоксидцирконий.
Бортников Дмитрий Сергеевич -
Изготовление диоксидциркониевых коронок на зубы 2.4, 2.5.
Бортников Дмитрий Сергеевич
Как нас найти
ООО "Эверест Дент"
№ Л041-01136-36/00335779 от 08.11.2019
-
Воронеж, ул. Депутатская 19а
ООО "Эведент"
№ Л041-01136-36/00956907 от 01.12.2023
-
Воронеж, ул. Бульвар Победы, 50а
Работаем Пн-Cб:
с 8:00 до 21:00
-
Комплексная диагностика
с помощью ультрасовременных камер
-
Врачи с опытом работы
от 7 лет
-
Помогаем вернуть 13%
с помощью ультрасовременных камер
-
Гарантийный паспорт
на все виды услуг
