Версия сайта для слабовидящих

Работаем Пн-Cб: с 8:00 до 21:00

rating
+7 (473) 200-9-200

pointВоронеж, ул. Депутатская 19а

+7 (473) 200-0-050

pointВоронеж ул. Бульвар Победы, 50а

04 Февраля 2026

Реакция на сладкое и холодное

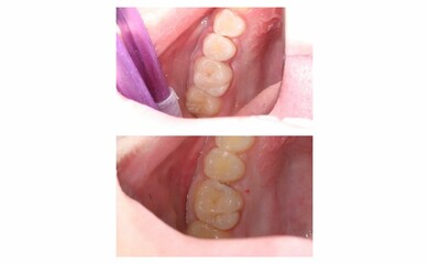
В карусели кейс врача стоматолога-терапевта Колиш Максима Петровича:

Пациент обратился с жалобами на застревание пищи между зубами, реакцию на сладкое и холодное.

При осмотре обнаружен контактный кариес на зубах 26, 25. Лечений в один визит. Восстановление функциональности композитной реставрацией.

Максим Петрович принимает в нашем филиале по адресу:

  • Воронеж, ул. Бульвар Победы, 50 а

+7 (473) 200-0-050

Режим работы:

пн-сб с 08:00 до 21:00

Этот сайт использует cookie-файлы и другие технологии для улучшения его работы. Продолжая работу с сайтом, Вы разрешаете использование cookie-файлов. Вы всегда можете отключить файлы cookie в настройках Вашего браузера. Более подробные сведения смотрите в нашей Политике

Информация собирается сервисом Яндекс Метрика