Версия сайта для слабовидящих

Работаем Пн-Cб: с 8:00 до 21:00

rating
+7 (473) 200-9-200

pointВоронеж, ул. Депутатская 19а

+7 (473) 200-0-050

pointВоронеж ул. Бульвар Победы, 50а

22 Октября 2025

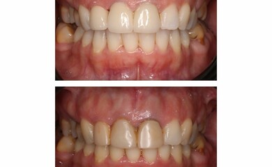
Отбеливание с последующим ортопедическим лечением

В карусели кейс врачей-стоматологов

Бортникова Д.С. И Рахмановой М.А.

Отбеливание с последующим ортопедическим лечением

______________

Наши филиалы:

  • Воронеж ул. Бульвар Победы, 50а

+7 (473) 200-0-050

  • Воронеж, ул. Депутатская 19а

+7 (473) 200-9-200

Режим работы:

пн-сб с 08:00 до 21:00

Этот сайт использует cookie-файлы и другие технологии для улучшения его работы. Продолжая работу с сайтом, Вы разрешаете использование cookie-файлов. Вы всегда можете отключить файлы cookie в настройках Вашего браузера. Более подробные сведения смотрите в нашей Политике

Информация собирается сервисом Яндекс Метрика