Версия сайта для слабовидящих

Работаем Пн-Cб: с 8:00 до 21:00

rating
+7 (473) 200-9-200

pointВоронеж, ул. Депутатская 19а

+7 (473) 200-0-050

pointВоронеж ул. Бульвар Победы, 50а

14 Октября 2025

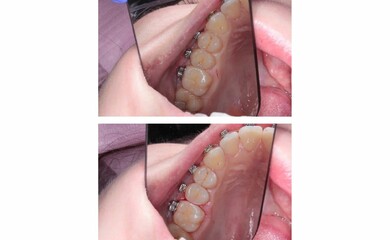
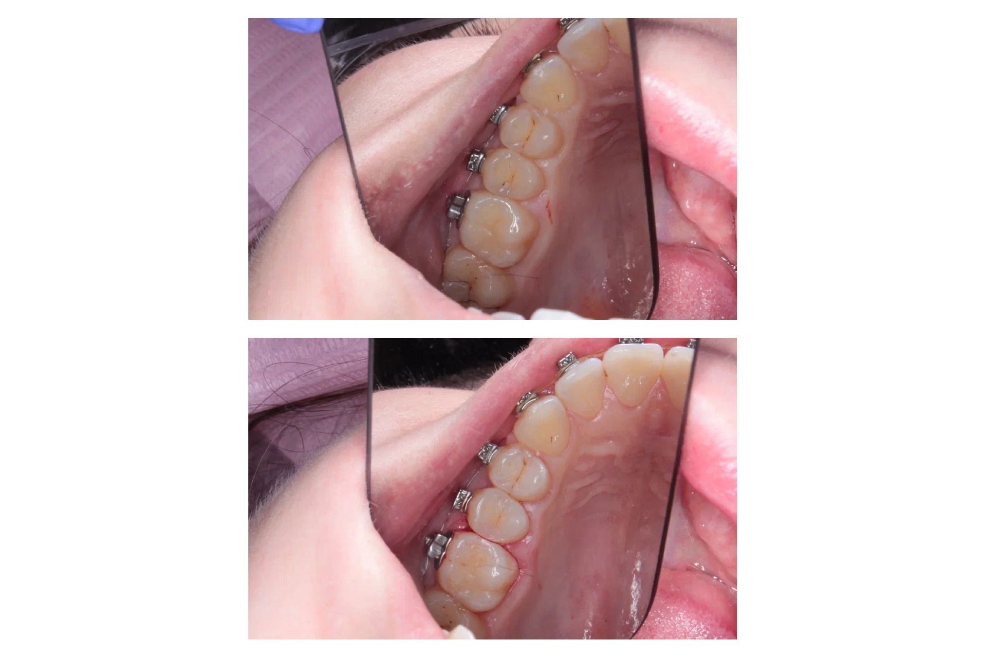
Лечение среднего кариеса 2.5 зуба с восстановлением жевательной функции.

В карусели кейс врача стоматолога-терапевта Колиш Максима Петровича:

  • лечение среднего кариеса 2.5 зуба с восстановлением жевательной функции

Максим Петрович принимает в нашем филиале по адресу:

  • Воронеж, ул. Бульвар Победы, 50 а

+7 (473) 200-0-050

Режим работы:

пн-сб с 08:00 до 21:00

Этот сайт использует cookie-файлы и другие технологии для улучшения его работы. Продолжая работу с сайтом, Вы разрешаете использование cookie-файлов. Вы всегда можете отключить файлы cookie в настройках Вашего браузера. Более подробные сведения смотрите в нашей Политике

Информация собирается сервисом Яндекс Метрика