Версия сайта для слабовидящих

Работаем Пн-Cб: с 8:00 до 21:00

rating
+7 (473) 200-9-200

pointВоронеж, ул. Депутатская 19а

+7 (473) 200-0-050

pointВоронеж ул. Бульвар Победы, 50а

07 Октября 2025

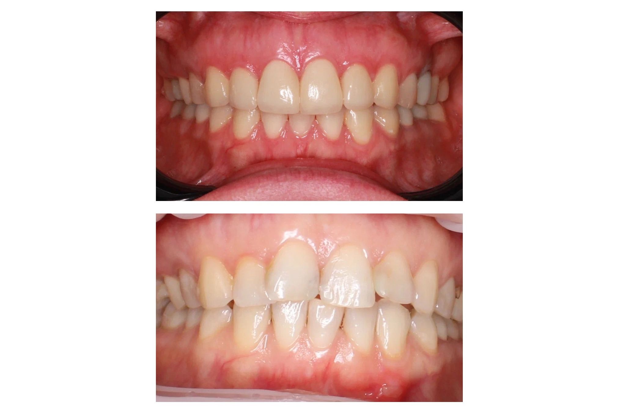
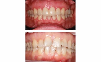
Лечение на брекет системе (1,5 года) с последующим протезированием

В карусели кейс врача-стоматолога ортодонта Тарановой Карины Семеновны.

Лечение на брекет системе (1,5 года) с последующим протезированием.

Карина Семеновна принимает взрослых и детей в наших филиалах:

  • г. Воронеж, ул. Депутатская, 19а

+7 (473) 200-9-200

  • г. Воронеж ул. Бульвар Победы, 50а

+7 (473) 200-0-050

Режим работы:

пн-сб с 08:00 до 21:00

Этот сайт использует cookie-файлы и другие технологии для улучшения его работы. Продолжая работу с сайтом, Вы разрешаете использование cookie-файлов. Вы всегда можете отключить файлы cookie в настройках Вашего браузера. Более подробные сведения смотрите в нашей Политике

Информация собирается сервисом Яндекс Метрика