Версия сайта для слабовидящих

Работаем Пн-Cб: с 8:00 до 21:00

rating
+7 (473) 200-9-200

pointВоронеж, ул. Депутатская 19а

+7 (473) 200-0-050

pointВоронеж ул. Бульвар Победы, 50а

21 Ноября 2025

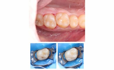
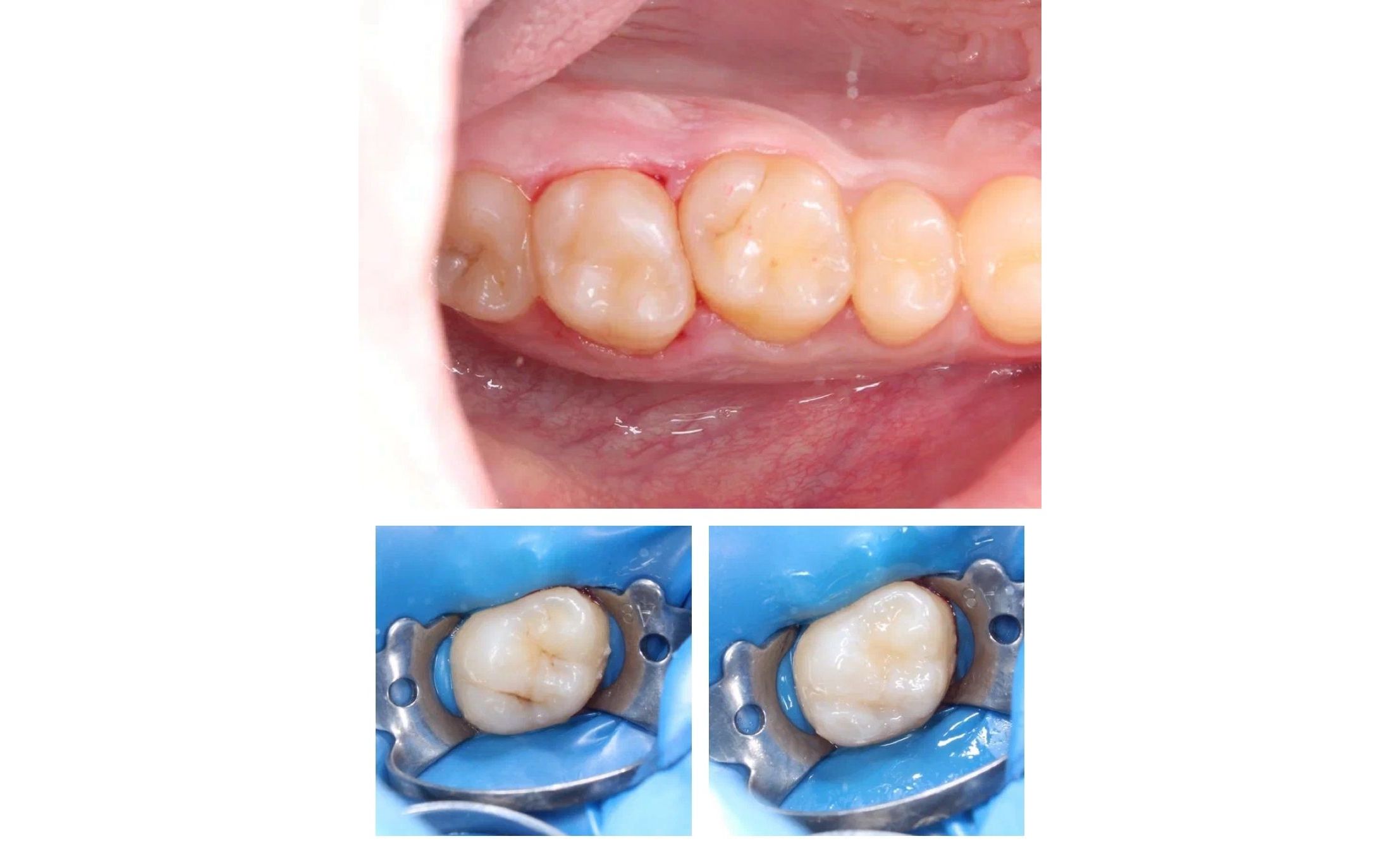
Лечение кариеса 1.7 зуба.

Препарирование кариозной полости. Восстановление анатомо-физиологической формы с использованием пломбировочного материала.

Кейс врача-стоматолога Бояринова Сергея Эдуардовича.

Сергей Эдуардович принимает в филиале по адресу:

  • г. Воронеж ул. Бульвар Победы, 50а

+7 (473) 200-0-050

Режим работы:

пн-сб с 08:00 до 21:00

Этот сайт использует cookie-файлы и другие технологии для улучшения его работы. Продолжая работу с сайтом, Вы разрешаете использование cookie-файлов. Вы всегда можете отключить файлы cookie в настройках Вашего браузера. Более подробные сведения смотрите в нашей Политике

Информация собирается сервисом Яндекс Метрика