Версия сайта для слабовидящих

Работаем Пн-Cб: с 8:00 до 21:00

rating
+7 (473) 200-9-200

pointВоронеж, ул. Депутатская 19а

+7 (473) 200-0-050

pointВоронеж ул. Бульвар Победы, 50а

03 Января 2026

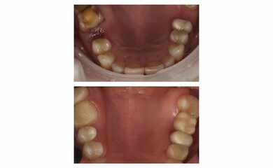
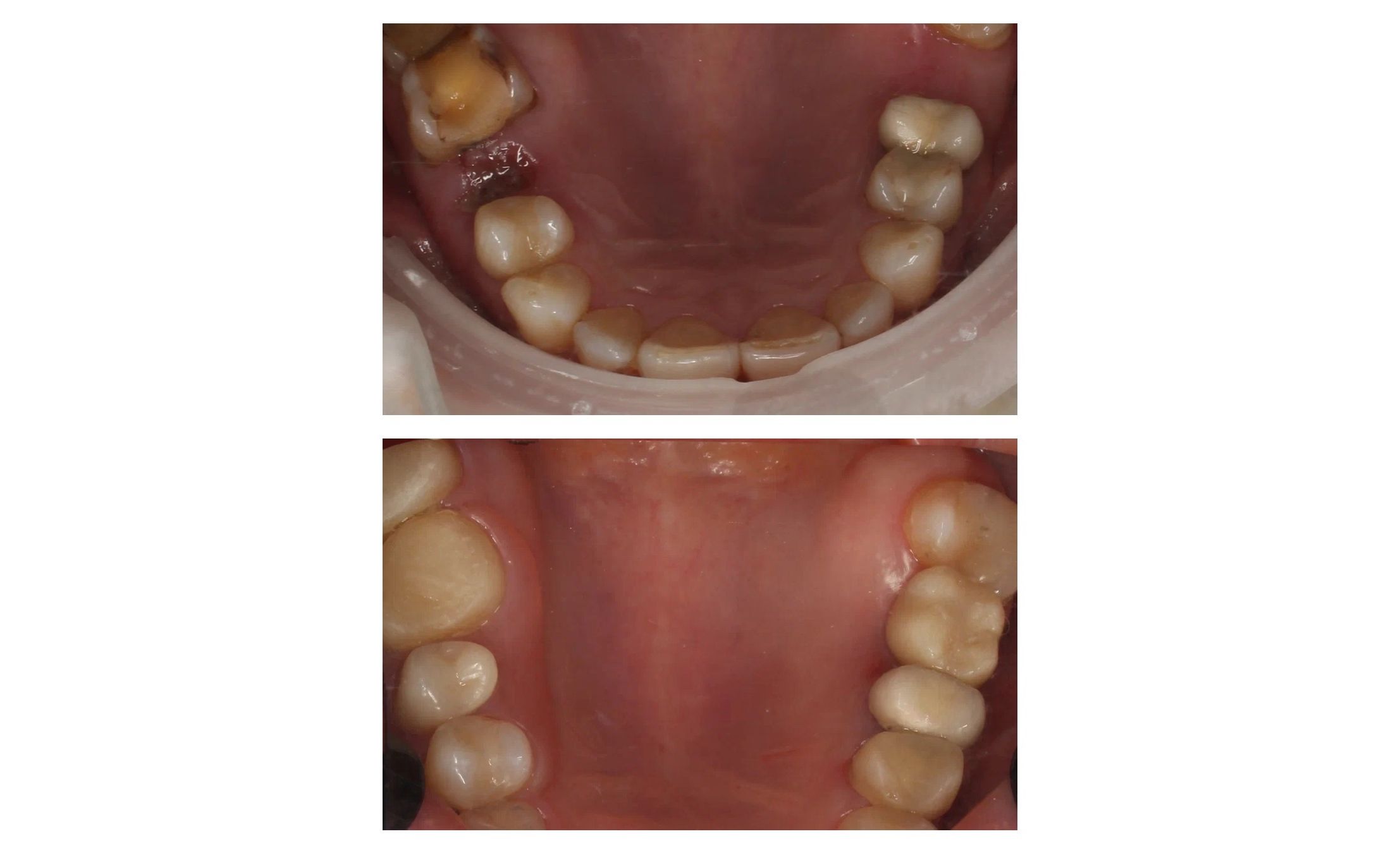
Изготовление временных коронок на зубы

Кейс врача-стоматолога Бортникова Дмитрия Сергеевича

  • Изготовление временных коронок на зубы 1.7, 1.6.
  • Изготовление частично съемного пластиночного микропротеза в области зуба 1.5.
  • Диоксидциркониевая коронка на имплантате в области зуба 2.6, винтовая фиксация.

Реабилитация пациента не закончена.

Дмитрий Сергеевич ведет клинический прием по специальности «Стоматология ортопедическая». К каждому клиническому случаю подходит индивидуально.

Дмитрий Сергеевич принимает в филиалах:

  • Воронеж ул. Бульвар Победы, 50а

+7 (473) 200-0-050

  • Воронеж, ул. Депутатская 19а

+7 (473) 200-9-200

Режим работы:

пн-сб с 08:00 до 21:00

Этот сайт использует cookie-файлы и другие технологии для улучшения его работы. Продолжая работу с сайтом, Вы разрешаете использование cookie-файлов. Вы всегда можете отключить файлы cookie в настройках Вашего браузера. Более подробные сведения смотрите в нашей Политике

Информация собирается сервисом Яндекс Метрика