-

Комплексная диагностика
-

Многолетний опыт
-

Поможем вернуть 13% от лечения
-

Гарантия
Бортников Дмитрий Сергеевич - стоматолог-ортопед в Воронеже
О враче
Ведет клинический прием по специальности "Стоматология ортопедическая" более 3 лет. К каждому клиническому случаю подходит индивидуально. Выполняет все виды протезирования. Не останавливается на достигнутом, регулярно проходит курсы повышения квалификации.
О себе
Стать врачом стоматологом я мечтал еще с детства, когда мама привела меня к врачу лечить еще мои молочные зубы.
Закончив школу, я не изменил своей мечте и сразу поступил на Стоматологический факультет ВГМУ им Н.Н. Бурденко.
Ортопедию я полюбил еще с 3 курса. Тогда я уже начал принимать своих первых пациентов и с тех пор тружусь в этом направлении по сегодняшний день.
Мне нравится сохранять возможность людям дальше по жизни ярко улыбаться и продлевать жевательную эффективность.
Образование
- 2015 - 2020 г.г. – обучение в Воронежском государственном медицинском университете им. Н.Н. Бурденко по специальности «стоматология»
- 2020 - 2022 г.г. обучался в клинической ординатуре на кафедре подготовки кадров высшей квалификации в стоматологии в ВГМУ им. Н.Н. Бурденко по специальности «стоматолог-ортопед»
Повышение квалификации
- Участник вебинара How to dent «Протезирование на имплантатах. От основы до тотальной реабилитации»
- Участник лекционно-практического курса “Ceramic Life” г. Воронеж.
В консультацию и комплексную диагностику входит
- Консультация врача-стоматолога-ортопеда Бортникова Дмитрия Сергеевича
- Визуальная оценка состояния полости рта с использованием фотопротокола
- Подбор подходящей ортопедической методики в рамках клинического случая пациента
- Составление поэтапного плана лечения с указанием сроков и стоимости каждого этапа.
Где принимает:
- Воронеж ул. Бульвар Победы, 50а
- Воронеж, ул. Депутатская 19а
Услуги, за которыми вы можете обратиться к Бортникову Дмитрию Сергеевичу
- Консультация стоматолога-ортопеда
- Несъемное протезирование
- Съемное протезирование
- Протезирование на имплантатах
Первичная консультация - бесплатно
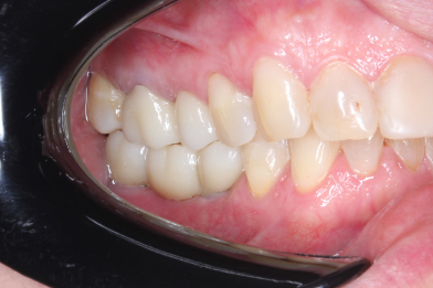
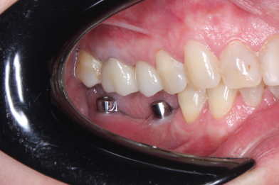
Примеры работ
Записаться на бесплатную консультацию
