-

Комплексная диагностика
-

Многолетний опыт
-

Поможем вернуть 13% от лечения
-

Гарантия
Колиш Максим Петрович - действующий врач стоматолог-терапевт в стоматологии «эверест», стаж работы с 2021г в Воронеже
О враче
Опыт работы 3 года, внимательный и деликатный доктор, который может найти к каждому пациенту свой подход. Специализируется на выявлении и лечении патологии твердых тканей зуба, а именно: кариозных и некариозных поражениях зуба, а так же на лечении осложненного кариеса ( пульпит, периодонтит ). Занимается профилактикой заболеваний тканей пародонта и научит вас как правильно ухаживать за полостью рта.
– Я, Колиш Максим Петрович , работаю с 2021 года врачом-стоматологом.
– Почему Я выбрал эту профессию и чем она меня привлекает?
– Потому что лечение людей – это благородное дело. Облегчить страдания пациента, избавить его от боли, успокоить и получить «доброе слово» многово стоит.
– Врач-стоматолог обучается и получает знания на протяжении всей своей жизни. Эта профессия требует большой аккуратности, ответственности, всегда держит себя в тонусе, потому что требует огромной работоспособности и терпеливости.
Образование:
- 2015 - 2021 г.г. – обучение в Воронежском государственном медицинском университете им. Н.Н. Бурденко по специальности «стоматология»
- 2021 - 2023 г.г. обучался в ординатуре на кафедре терапевтической стоматологии в Национальном Исследовательском Университете БелГУ по специальности «врач стоматолог-терапевт»
Повышение квалификации:
- Снятие зубных отложений инструментальным методом. Базовые принципы. 13.03.2021г – лектор Прокофьева Н.Н.
- Однодневный курс по жевательной реставрации. 19.10.2022г – Врач-стоматолог, реставратор Иван Рузин
- Однодневный курс по фронтальной реставрации. 20.10.2022г – Врач-стоматолог, реставратор Иван Рузин
- Конусно-лучевая компьютерная томография как обязательный инструмент в терапевтической стоматологии. 11.11.2022г – врач-рентгенолог Якупова Р.Р.
- Онлайн курс. Инструментальная обработка корневых каналов: от базового навыка до продвинутого уровня. 30.06.2023г – Врач – стоматолог Д.А. Николаев
- Онлайн курс. Эндодонтический доступ. 09.07.2023 – Врач – стоматолог Д.А. Николаев
- Онлайн курс. Диагностика в терапевтической стоматологии, витальные зубы. 04.09.2023г – Врач – стоматолог Д.А. Николаев
В консультацию и комплексную диагностику входит
- Консультация врача-стоматолога-терапевта Колиш Максима Петровича.
- Визуальная оценка состояния полости рта с использованием фотопротокола
- Подбор подходящей терапевтической методики в рамках клинического случая пациента
- Составление поэтапного плана лечения с указанием сроков и стоимости каждого этапа.
Где принимает:
- Воронеж ул. Бульвар Победы, 50а
Услуги, за которыми вы можете обратиться к Колиш Максиму Петровичу
- Лечение зубов
- Консультация стоматолога-терапевта
- Лечение кариеса
- Лечение пульпита
- Лечение периодонтита
- Консультация стоматолога
- Лечение десен
Первичная консультация - бесплатно
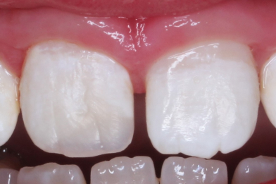
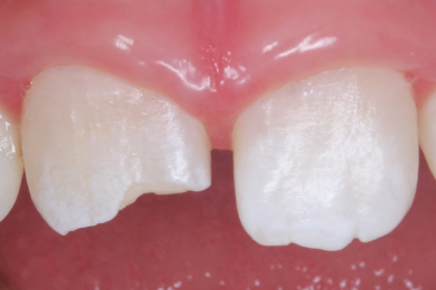
Примеры работ
Записаться на бесплатную консультацию
